当前位置:肿瘤瞭望>资讯>研究>正文

HER2检测新纪元——《乳腺癌HER2检测指南(2024版)》更新要点速览

作者:肿瘤瞭望   日期:2024/12/11 14:13:55  浏览量:8515

肿瘤瞭望版权所有,谢绝任何形式转载,侵犯版权者必予法律追究。

乳腺癌作为女性最常见的恶性肿瘤之一,其诊断和治疗技术的不断进步为患者带来了更多生存希望。其中,正确检测和评定乳腺癌的HER2蛋白表达和基因扩增状态对乳腺癌的临床治疗及预后判断至关重要。12月10日,乳腺癌HER2检测领域迎来了重要的更新——《乳腺癌HER2检测指南(2024版)》发布。

编者按:乳腺癌作为女性最常见的恶性肿瘤之一,其诊断和治疗技术的不断进步为患者带来了更多生存希望。其中,正确检测和评定乳腺癌的HER2蛋白表达和基因扩增状态对乳腺癌的临床治疗及预后判断至关重要。12月10日,乳腺癌HER2检测领域迎来了重要的更新——《乳腺癌HER2检测指南(2024版)》发布。本次指南更新由中华医学会病理学分会乳腺疾病学组、中国抗癌协会肿瘤病理专委会乳腺肿瘤学组和中国临床肿瘤学会病理专家委员会共同发起,旨在进一步提高HER2检测的准确性和可重复性,为临床抗HER2靶向治疗策略提供有力支持。本文将对指南的更新要点进行介绍和解读。
 
 
鉴于近年来抗HER2靶向治疗策略的进展及循证依据的更新,特别是DESTINY-Breast04[1]和DESTINY-Breast06[2]这两项具有里程碑意义的研究数据,为HER2低/超低表达乳腺癌患者治疗带来突破性进展,使临床实践中对HER2病理检测的准确性与标准化需求日益增强。基于此背景,本版指南基于《乳腺癌HER2检测指南(2019版)》,围绕10个主要相关问题进行了全面更新,旨在更好地适应临床实际需求,对HER2检测的诊断流程和报告内容、HER2异质性、质控流程、人工智能应用等方面等方面进行了优化与更新。
 
问题一:乳腺癌HER2检测的推荐方法

推荐意见:采用IHC检测HER2蛋白的表达水平,原位杂交法检测HER2基因扩增水平;若HER2 IHC表达不确定(即评分2+),推荐IHC与原位杂交相结合的检测策略。目前IHC和原位杂交对HER2较低水平表达的精准检测较为困难,但是在缺乏临床验证和/或实用性的情况下,临床实践中尚无针对HER2较低水平表达的可替代检测技术(证据质量:高;推荐强度:强)。
 
问题二:乳腺癌HER2的检测时机

推荐意见:所有乳腺原发浸润性癌都应进行HER2检测;推荐新辅助治疗后残余肿瘤也均进行HER2检测;对复发病灶、转移病灶建议尽可能获取肿瘤组织进行HER2检测;多灶性/多中心性浸润性乳腺癌的多个癌灶存在不同组织学类型和/或分级时,建议应尽可能对每个癌灶进行HER2检测(证据质量:高;推荐强度:强)。
 
问题三:组织标本的制备要求

推荐意见:建立标准化的HER2检测全流程。未染色的切片置于室温不宜超过6周,所有乳腺癌标本离体后都应及时、充分固定,固定时间以6~72h为宜。骨转移标本建议使用乙二胺四乙酸(ethylene diamine tetraacetic acid,EDTA)脱钙液(证据质量:高;推荐强度:强)。
 
问题四:HER2的IHC判读推荐流程

推荐意见:推荐首先在低倍镜下观察整张切片,判断染色是否满意及是否存在HER2表达的异质性。严格按照乳腺癌HER2检测指南标准判读浸润癌细胞的HER2 IHC评分,并遵循“显微镜放大倍数法则”。当结果接近阈值,评分难以确定时,可咨询第二位病理医师的判读意见综合评估(证据质量:高,推荐强度:强)。
 
本次指南对乳腺癌HER2免疫组化判读标准进行了更新(图1),此外,指南中同期更新了HER2判读卡(图2),并建议在HER2的IHC检测报告中报告IHC判读结果(0、1+、2+、3+)。若IHC结果为0,当≤10%的浸润癌细胞呈现不完整的、微弱的细胞膜染色时属于“HER2超低表达”,建议具体报告为“HER2 IHC 0(存在细胞膜染色)”;当IHC结果为0且无染色时,可报告为“HER2 IHC 0(无染色)。
 
图1.乳腺癌HER2免疫组化判读标准更新
 
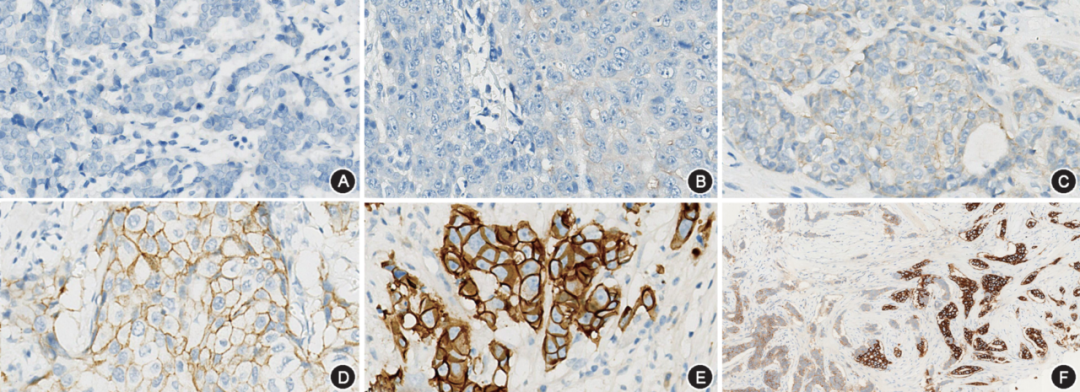
图2.浸润性乳腺癌HER2免疫组织化学(IHC)染色结果EnVision法;A示IHC 0,无染色高倍放大;B示IHC 0,存在细胞膜染色高倍放大;C示IHC 1+高倍放大;D示IHC 2+高倍放大;E示IHC 3+,无异质性高倍放大;F示IHC 3+,有异质性低倍放大
 
问题五:HER2 IHC检测的质量控制

推荐意见:设立一组不同染色梯度的外对照,有条件单位建议同时设立0、1+、2+和3+。检测方法的开展需要通过严格的比对验证,并建议定期参加相关外部质量控制活动来实现(证据质量:高,推荐强度:强)。
 
问题六:HER2原位杂交判读推荐流程(图3)

推荐意见:至少在2个代表性区域内累计计数≥20个浸润癌细胞,浸润癌细胞数量过少的微浸润灶不宜行原位杂交检测。在存在异质性的情况下,建议增加至少20个浸润癌细胞,以提高结果的准确性与可靠性(证据质量:高;推荐强度:强)。
 
图3.浸润性乳腺癌HER2双色原位杂交检测结果DISH法高倍放大;A示阴性;B示阳性
 
问题七:HER2原位杂交检测的质量控制

推荐意见:使用同时含有HER2基因和CEP17序列的混合探针,组织中≥75%的细胞核显示出双色信号视为杂交成功,并且双色信号互为对照,癌与非癌细胞互为对照(证据质量:高,推荐强度:强)。

问题八:基于IHC及原位杂交结果如何最终判定HER2状态

推荐意见:基于IHC及原位杂交结果,可将HER2分为HER2阳性和HER2阴性。HER2阳性包括HER2 IHC 3+或IHC 2+/原位杂交扩增,HER2阴性包括HER2 IHC 0、IHC 1+或IHC 2+/原位杂交未扩增。基于DESTINY Breast?04及DESTINY Breast?06临床研究结果,“HER2低表达”目前定义为HER2 IHC 1+或IHC 2+/原位杂交未扩增,“HER2超低表达”目前定义为HER2IHC 0中≤10%的浸润癌细胞呈现不完整的、微弱的细胞膜染色(证据质量:高,推荐强度:中)。
 
结合IHC及ISH,2024版乳腺癌HER2状态判定标准如下:
 
IHC 3+:HER2阳性
 
IHC 2+:须进一步进行ISH检测。若ISH扩增,为HER2阳性;ISH未扩增,为HER2阴性属于“HER2低表达”
 
IHC 1+:为HER2阴性,属于“HER2低表达”
 
IHC 0:为HER2阴性;
 
当≤10%的浸润癌细胞呈现不完整的、微弱的细胞膜染色时属于“HER2超低表达建议具体报告为“HER2 IHC 0(存在细胞膜染色);
 
当无染色时,可报告为“HER2 IHC 0(无染色)”。
 
关于原位杂交是否存在扩增,双探针FISH的判读标准分以下5种情况(图4,5)
 
图4.HER2双探针原位杂交检测判断标准
 
图5.浸润性乳腺癌HER2双探针荧光原位杂交检测结果FISH法高倍放大;A示阳性;B示阴性
 
问题九:HER2异质性的评估

推荐意见:建议在HER2 IHC 3+表达存在明显异质性时,报告阳性浸润癌细胞占所有浸润癌细胞的百分比。若原位杂交检测结果中出现HER2异质性,推荐在报告中体现分析的细胞数、平均HER2和CEP17拷贝数、HER2/CEP17比值,并报告扩增细胞群占所有浸润癌细胞的比例(证据质量:高;推荐强度:中)。
 
问题十:人工智能技术在乳腺癌HER2检测中的应用

推荐意见:与标准IHC/原位杂交检测技术相比,人工智能技术可在一定程度上辅助病理医师对HER2进行精准评估(证据质量:中;推荐意见强度:中)。
 
总之,准确的HER2检测是保障乳腺癌患者得到正确治疗的基石。《乳腺癌HER2检测指南(2024版)》的发布标志着乳腺癌HER2检测领域的又一重要进步。本指南基于最新的临床证据和研究成果,对HER2检测的多个方面进行了全面更新和优化,包括检测方法、检测时机、组织标本制备、判读流程、质量控制以及人工智能技术的应用等。这些更新不仅提高了HER2检测的准确性和可重复性,也为临床抗HER2靶向治疗策略的制定提供了更加坚实和可靠的依据。随着新型抗HER2靶向药物的不断涌现,HER2检测的准确性和标准化需求日益增强,本指南的发布将有力推动乳腺癌个体化精准治疗的进一步发展,为患者带来更多的生存希望和治疗选择。此外,在HER2检测过程中一定要重视多学科合作的重要性,加强临床与病理的沟通交流,有助于对HER2检测结果的正确判断及对治疗疗效的客观评价。
 
▌参考文献:
 
[1]Modi S,et al.Trastuzumab deruxtecan(T-DXd)versus treatment of physician’s choice(TPC)in patients(pts)with HER2-low unresectable and/or metastatic breast cancer(mBC):UpDate:survival results of the randomized,phase 3 DESTINY-Breast04 study.2023 ESMO 376O.
 
[2]Bardia,Aditya et al.“Trastuzumab Deruxtecan after Endocrine Therapy in Metastatic Breast Cancer.”The New England journal of medicine,10.1056/NEJMoa2407086.15 Sep.2024,doi:10.1056/NEJMoa2407086
 
[3]《乳腺癌HER2检测指南(2024版)》编写组.乳腺癌HER2检测指南(2024版)[J].中华病理学杂志,2024,53(12):1192-1202.DOI:10.3760/cma.j.cn112151-20241009-00664.
 
CN-20241209-00013
 

 

 

 

本内容仅供医学专业人士参考


乳腺癌

分享到: 更多