当前位置:肿瘤瞭望>百家>病例>正文

案例实录:防微杜渐—奈拉替尼强化辅助治疗为中高危乳腺癌患者保驾护航

作者:肿瘤瞭望   日期:2025/5/26 14:51:42  浏览量:13701

肿瘤瞭望版权所有,谢绝任何形式转载,侵犯版权者必予法律追究。

乳腺癌是女性最常见的恶性肿瘤之一,2024年2月1日,根据世界卫生组织(WHO)下属国际癌症研究机构(IARC)发布的最新数据,2022年全球乳腺癌新发例数高达230万,仅次于肺癌。其中HER2阳性乳腺癌进展快、复发风险高,曾是预后最差的乳腺癌类型。近20年,随着抗HER2治疗的出现及发展,HER2阳性早期乳腺癌患者预后明显提高。但是即使在标准的化疗联合抗HER2靶向的(新)辅助治疗之后,局部复发与远处转移仍是患者不得不面对的严峻挑战:经曲妥珠单抗治疗1年的患者10年复发率为31%[1],经曲妥珠单抗联合帕妥珠单抗双靶治疗1年的淋巴结阳性亚组患者6年复发率为12%[2];新辅助后疾病残留的患者接受T-DM1治疗后,3年和7年疾病复发率分别近12%和20%[3]。

编者按:乳腺癌是女性最常见的恶性肿瘤之一,2024年2月1日,根据世界卫生组织(WHO)下属国际癌症研究机构(IARC)发布的最新数据,2022年全球乳腺癌新发例数高达230万,仅次于肺癌。其中HER2阳性乳腺癌进展快、复发风险高,曾是预后最差的乳腺癌类型。近20年,随着抗HER2治疗的出现及发展,HER2阳性早期乳腺癌患者预后明显提高。但是即使在标准的化疗联合抗HER2靶向的(新)辅助治疗之后,局部复发与远处转移仍是患者不得不面对的严峻挑战:经曲妥珠单抗治疗1年的患者10年复发率为31%[1],经曲妥珠单抗联合帕妥珠单抗双靶治疗1年的淋巴结阳性亚组患者6年复发率为12%[2];新辅助后疾病残留的患者接受T-DM1治疗后,3年和7年疾病复发率分别近12%和20%[3]
 
并且HER2阳性乳腺癌在诊断后的1-3年内存在复发高峰,即使应用曲妥珠单抗治疗之后,复发风险仍持续存在。
 
在此背景下,Ⅲ期ExteNET研究探索了曲妥珠单抗后的序贯治疗模式。该研究评估了HER2阳性乳腺癌患者完成1年曲妥珠单抗辅助治疗后使用奈拉替尼辅助强化的价值。研究结果显示,ITT人群2年、5年的复发风险分别降低了33%和27%,淋巴结阳性亚组患者和HR阳性患者5年复发风险分别降低30%和42%[4,5]。其中高危人群获益更为显著:激素受体阳性/完成曲妥珠单抗辅助治疗≤1年(HR+/≤1年)且新辅助non-pCR的患者较安慰剂组,5年iDFS绝对获益达到7.4%,8年OS绝对获益达到9.1%[5]
 
基于以上结果,奈拉替尼分别于2017、2018年在美国和欧盟上市。2020年4月27日,奈拉替尼在中国上市,获批用于HER2阳性早期乳腺癌强化辅助治疗。随着2021年被纳入国家医保,奈拉替尼的可及性大大增加,也得到了国内指南的大力推荐。尤其对于淋巴结阳性的患者,属于复发高危人群,《CACA-CBCS指南》2025版推荐高危(任何pN+)患者在初始的辅助化疗联合抗HER2治疗后,使用奈拉替尼进行后续的强化治疗。对于淋巴结阴性并且pT1c及以上的中危患者,也推荐考虑使用奈拉替尼进行辅助强化治疗,以尽量降低癌症复发的可能性。
 
病例分享专家简介
 
孙哲
昆明医科大学第一附属医院
乳腺外科
主治医师
云南省医学分会乳腺疾病分会委员
云南省医学会日间医疗分会肿瘤日间化疗学组委员
中国解剖学会临床神经解剖分会委员
中国研究型医院学会整形分会青年委员
主要从事以乳腺疾病为主的临床及科研研究,主要研究方向为乳腺癌术后整形、乳腺癌综合治疗
曾发表SCI及核心期刊文章多篇,参与多项国自然及省级科研基金研究
2018“赫然新声”全国中青年演讲赛西南赛区冠军
 
病例介绍
 
患者基本信息
 
患者:女
 
年龄:40岁
 
主诉:发现左乳肿物1年
 
现病史:患者1年前无意中发现左乳肿物,约2cmx2cm大小,无局部红肿,无发热,无乳头溢液,无明显疼痛,无咳嗽咳痰,无腹痛腹泻。于2023年6月24日在我院门诊就诊,行超声提示:左乳4点方向实性结节(BI-RADS 4C类),门诊以“左乳肿物(乳腺癌可能)”收入我科,患者患病期间,精神可,睡眠、食欲欠佳,大小便无明显异常,体重无明显变化。
 
既往史:无特殊
 
个人史:出生于云南昆明,无烟酒史,无疫水疫区等接触史。既往体健,无其他基础疾病。
 
家族史:无特殊
 
体格检查
 
视诊:双乳大小、位置基本对称,乳晕区无明显色素沉着,皮肤无明显红肿、破溃、橘皮样改变(-)、酒窝征(-)
 
触诊:左乳4点钟见一肿物,大小约2.0x2.0cm的不规则肿物,质硬,活动度差,表面欠光滑,边界不清,无压痛,右乳未触及明显肿物,左侧腋窝及双侧锁骨上未触及明显肿大淋巴结。

影像学检查
 
·乳腺彩超
 
2023-06-26彩色多普勒超声宽景成像+术前体表定位:
 
1、左乳4点钟方向实性肿块(乳腺Ca可能,BI-RADS 4C类),已体表定位,此次定位仅供手术医生参考。
 
2、双乳乳腺增生症。
 
3、双侧腋窝探及多个淋巴结。
 
图1.2023年6月24日乳腺彩超

辅助检查
 
·乳腺MR
 
图2.2023年6月28日乳腺MR结果
 
1、左乳外下象限肿块,考虑恶性。(BI-RADS 5)
 
2、左侧乳头凹陷并强化,左乳下份皮肤结节样强化,请结合临床及其他检查。
 
3、右乳外份条带样异常信号,硬化性腺病与其他待鉴别,必要时活检。(BI-RADS 4A)
 
4、双乳多发点结状强化灶。(BI-RADS 3)
 
·乳腺DR
 
图3.2023年6月27日乳腺DR结果
 
1、左乳外下象限前中带肿块,恶性可能。(BI-RADS 4C)
 
2、右乳外上象限中后带局限性非对称致密,建议进一步检查。(BI-RADS 0)
 
·CT
 
图4.2023年6月27日CT结果
 
1、双肺肺气肿并散在肺大疱。
 
2、双肺多发微小结节,多为磨玻璃结节,密切随诊。
 
3、左乳外份肿块,建议乳腺相关检查。
 
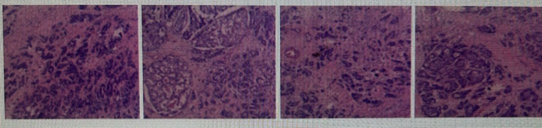
·穿刺病理
 
图5.2023年6月28日穿刺病理结果
 
免疫组化及相关检查:
 
P63(部分+),SMMHC(部分+),CK5/6(部分+),ER(+,约90%强),PR(+,1%-2%强),HER-2(2+),AR(+,约80%-90%强),Ki-67(+,约20%-30%),P120(+),E-cad(+),Syn(-),CgA(-),GATA-3(+),CD34(血管+)。
 
病理诊断:
 
(左乳穿刺组织)浸润性乳腺癌,NST,2级(腺管形成3分,核级3分,核分裂1分,总分7分),伴导管原位癌(中核级,无坏死)。
 
病理诊断:
 
(左乳)浸润性乳腺癌;
 
-NST,WHO 2级;
 
-伴导管原位癌(约40%,中核级伴坏死);
 
-体积:2.5cmX2.0cmx2.0cm;
 
-神经及脉管侵犯(-);
 
-乳头及各手术切缘(-)。
 
最终诊断:左乳浸润性乳腺癌,pT2N0M0 WHO2级,三阳型
 
治疗经过
 
一、手术治疗
 
入院后完善相关检查,排外穿刺禁忌,于2023-06-27日局麻下行左乳肿物空芯针穿刺活检术,穿刺结果:(左乳穿刺组织)初步考虑为浸润性癌。积极完善相关检查,排外手术禁忌症后,于2023-07-06日全麻下行左单侧乳房根治性切除术伴同侧腋窝前哨淋巴结活检术,术后患者恢复良好,术后病检:(左乳)浸润性乳腺癌,II级;免疫组化:Ki-67(15%+),ER(85%,2+),PR(-),HER-2(2+)。HER-2基因有扩增,神经侵犯(-),脉管癌栓(-),LN(0/8)。
 
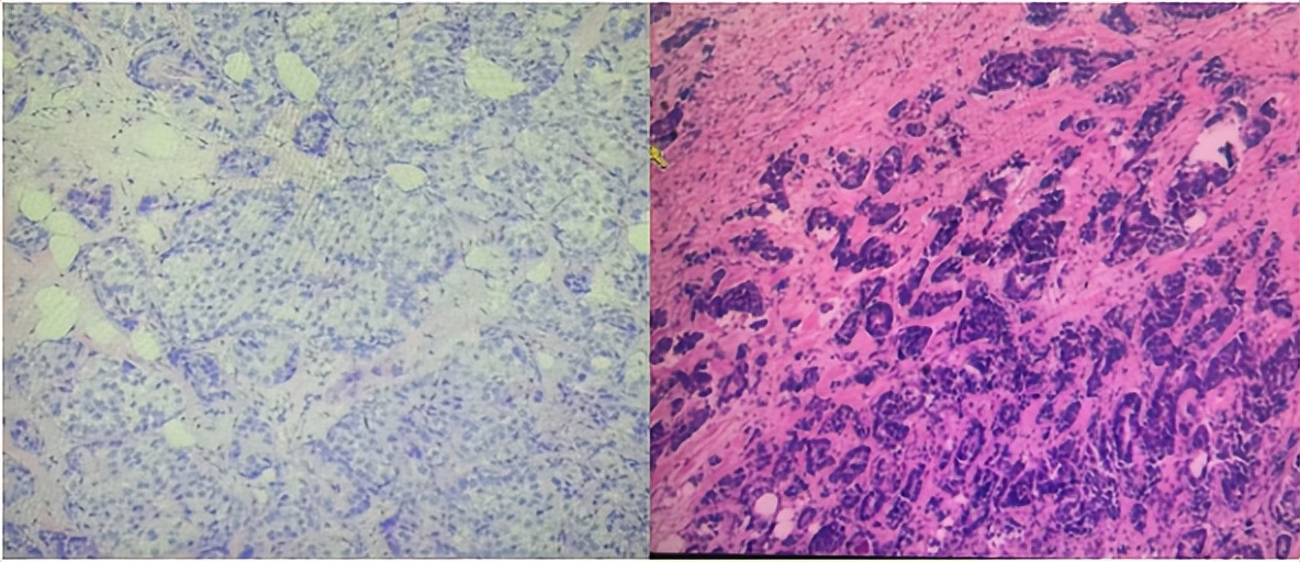
·术后病理
 
图6.2023年7月6日术后病理
 
免疫组化及相关检查:
 
Ki-67(15%+),CK5/6(-),ER(85%,2+),PR(-),AR(90%,2+),HER-2(2+),P120(+),E-cad(+),β-catenin(±),Syn(-),P53(-),P63(-),CK7(+),GATA-3(+)。
 
2023年7月27日,HER2基因扩增FISH检测报告(MF230117):HER2基因扩增。
 
二、术后化疗
 
2023年8月11日至2023年10月11日,予以辅助化疗,化疗方案EC-TH,化疗结束后,后继续靶向治疗1年,伴内分泌治疗(来曲唑+亮丙瑞林)。
 
三、强化辅助治疗
 
2024年11月4日,患者靶向治疗结束,门诊询问后续治疗,因该患者初始肿块大于2cm,且该患者较焦虑,担心复发,于2024年11月20日服用奈拉替尼,每日1次,每次3片,并予咯哌丁胺每日3次,每次2片预防腹泻。至2024年11月27日,奈拉替尼增量至每日4片,服用过程中腹泻2-3次左右,后逐渐缓解。2024年12月4日予奈拉替尼每日6片服用,至2024年12月31日,因患者服药过程中吃了小番茄,导致腹泻加重并引发痔疮、便血,与患者沟通后决定暂时停药,身体恢复后从低剂量(每日4片)开始服用奈拉替尼。至2025年1月24日患者大便次数正常,奈拉替尼增至每日6片。目前,患者耐受良好,大便次数正常。
 
专家点评

点评专家简介
 
段文晶教授
昆明医科大学第一附属医院乳腺外科
行政副主任主任医师
硕士生导师
中华医学会云南省分会乳腺专业组委员
云南省女医师协会外科学分会副主任委员
云南省医师协会乳腺癌专业委员会委员
云南省抗癌协会乳腺癌专业委员会常委
云南省预防医学会乳腺癌专业委员会常委
主要从事以乳腺疾病为主的临床、教学及科研研究,主要研究乳腺癌早期诊治、综合性治疗及乳腺癌术后整形修复(乳腺癌改良根治术、保留乳房的乳腺癌根治术、ⅠⅡ期乳房再造术)参与科研课题8项并获得2项云南省科学技术进步三等奖。发表专著《恶性肿瘤临床治疗与分析》1部,专业科研论?20余篇,北?核?5篇,SCI2篇
 
奈拉替尼作为不可逆的泛HER酪氨酸激酶抑制剂(TKI),通过同时阻断HER1、HER2和HER4蛋白信号通路,持续抑制肿瘤细胞的增殖和存活,减少术后微小残留病灶[6-8]。
 
ExteNET研究显示,对于HER2阳性早期乳腺癌患者,完成曲妥珠单抗治疗后序贯1年奈拉替尼,5年无浸润性疾病生存率(iDFS)提高至90.2%(对照组87.7%),远处转移风险降低40%。亚组分析显示,淋巴结阳性,激素受体阳性以及肿瘤>2cm(T2/T3)患者从奈拉替尼的治疗中获益更大[5]。
 
本例患者肿瘤大小为2.5cm(pT2N0M0),虽无淋巴结转移,但肿瘤体积较大,既往研究提示,原发肿瘤负荷≥pT2是HER-2阳性乳腺癌术后复发的独立危险因素[9],因此该患者属于复发中高危。同时患者ER表达为85%,ExteNET研究数据也表明奈拉替尼对HR+/<1年亚组的效果更优(5年iDFS绝对获益5.1%)。因此根据肿瘤大小和ER表达,判断该患者可能从奈拉替尼的治疗中获益。
 
另外从机制上,奈拉替尼与曲妥珠单抗的作用位点和机制不同,可以发挥机制互补作用;奈拉替尼还可以弥补曲妥珠单抗等大分子难以入脑的局限性,利用分子量优势穿透血脑屏障,起到预防脑转移的作用[10];最后曲妥珠单抗疗程结束后序贯使用奈拉替尼,可延长HER2通路抑制时间,减少“治疗空窗期”复发风险。
 
CONTROL研究显示[11],使用奈拉替尼剂量递增方案,并按需应用洛哌丁胺(如本例),并逐步递增剂量,通过个体化副作用管理来保障治疗连续性。本例患者通过剂量调整和腹泻预防,成功耐受治疗,体现了临床中“风险分层”与“精准管理”的结合。
 
参考文献
 
[1].Cameron,D.,Piccart-Gebhart,M.J.,Gelber,R.D.,Procter,M.,Goldhirsch,A.,de Azambuja,E.,Castro,G.,Jr.,Untch,M.,Smith,I.,Gianni,L.,et al.(2017).11 years’follow-up of trastuzumab after adjuvant chemotherapy in HER2-positive early breast cancer:final analysis of the HERceptin Adjuvant(HERA)trial.Lancet 389,1195-1205.10.1016/s0140-6736(16)32616-2.
 
[2].Piccart,M.,Procter,M.,Fumagalli,D.,de Azambuja,E.,Clark,E.,Ewer,M.S.,Restuccia,E.,Jerusalem,G.,Dent,S.,Reaby,L.,et al.(2021).Adjuvant Pertuzumab and Trastuzumab in Early HER2-Positive Breast Cancer in the APHINITY Trial:6 Years’Follow-Up.J Clin Oncol 39,1448-1457.10.1200/jco.20.01204.
 
[3].von Minckwitz,G.,Huang,C.S.,Mano,M.S.,Loibl,S.,Mamounas,E.P.,Untch,M.,Wolmark,N.,Rastogi,P.,Schneeweiss,A.,Redondo,A.,et al.(2019).Trastuzumab Emtansine for Residual Invasive HER2-Positive Breast Cancer.N Engl J Med 380,617-628.10.1056/NEJMoa1814017.
 
[4].Chan,A.,Delaloge,S.,Holmes,F.A.,Moy,B.,Iwata,H.,Harvey,V.J.,Robert,N.J.,Silovski,T.,Gokmen,E.,von Minckwitz,G.,et al.(2016).Neratinib after trastuzumab-based adjuvant therapy in patients with HER2-positive breast cancer(ExteNET):a multicentre,randomised,double-blind,placebo-controlled,phase 3 trial.Lancet Oncol 17,367-377.10.1016/s1470-2045(15)00551-3.
 
[5].Martin,M.,Holmes,F.A.,Ejlertsen,B.,Delaloge,S.,Moy,B.,Iwata,H.,von Minckwitz,G.,Chia,S.K.L.,Mansi,J.,Barrios,C.H.,et al.(2017).Neratinib after trastuzumab-based adjuvant therapy in HER2-positive breast cancer(ExteNET):5-year analysis of a randomised,double-blind,placebo-controlled,phase 3 trial.Lancet Oncol 18,1688-1700.10.1016/s1470-2045(17)30717-9.
 
[6].Rabindran,S.K.,Discafani,C.M.,Rosfjord,E.C.,Baxter,M.,Floyd,M.B.,Golas,J.,Hallett,W.A.,Johnson,B.D.,Nilakantan,R.,Overbeek,E.,et al.(2004).Antitumor activity of HKI-272,an orally active,irreversible inhibitor of the HER-2 tyrosine kinase.Cancer Res 64,3958-3965.10.1158/0008-5472.Can-03-2868.
 
[7].Tiwari,S.R.,Mishra,P.,and Abraham,J.(2016).Neratinib,A Novel HER2-Targeted Tyrosine Kinase Inhibitor.Clinical Breast Cancer 16,344-348.10.1016/j.clbc.2016.05.016.
 
[8].Wissner,A.,and Mansour,T.S.(2008).The development of HKI-272 and related compounds for the treatment of cancer.Arch Pharm(Weinheim)341,465-477.10.1002/ardp.200800009.
 
[9].Dall,P.,Koch,T.,Göhler,T.,Selbach,J.,Ammon,A.,Eggert,J.,Gazawi,N.,Rezek,D.,Wischnik,A.,Hielscher,C.,et al.(2017).Trastuzumab in Human Epidermal Growth Factor Receptor 2-Positive Early Breast Cancer:Results of a Prospective,Noninterventional Study on Routine Treatment Between 2006 and 2012 in Germany.Oncologist 22,131-138.10.1634/theoncologist.2016-0193.
 
[10].Li,J.,Jiang,J.,Bao,X.,Kumar,V.,Alley,S.C.,Peterson,S.,and Lee,A.J.(2022).Mechanistic Modeling of Central Nervous System Pharmacokinetics and Target Engagement of HER2 Tyrosine Kinase Inhibitors to Inform Treatment of Breast Cancer Brain Metastases.Clin Cancer Res 28,3329-3341.10.1158/1078-0432.Ccr-22-0405.
 
[11].Chan,A.,Ruiz-Borrego,M.,Marx,G.,Chien,A.J.,Rugo,H.S.,Brufsky,A.,Thirlwell,M.,Trudeau,M.,Bose,R.,García-Sáenz,J.A.,et al.(2023).Final findings from the CONTROL trial:Strategies to reduce the incidence and severity of neratinib-associated diarrhea in patients with HER2-positive early-stage breast cancer.Breast 67,94-101.10.1016/j.breast.2022.12.003.

本内容仅供医学专业人士参考


乳腺癌

分享到: 更多