盛湲教授:ADC药物的狂欢—AACR T-DXd最新数据盘点

作者:肿瘤瞭望   日期:2022/4/24 14:32:38  浏览量:18015

肿瘤瞭望版权所有,谢绝任何形式转载,侵犯版权者必予法律追究。

美国癌症研究协会(AACR)年会是全球历史最悠久、规模最大的肿瘤研究型学术会议之一。2022年AACR年会于4.9~4.13日在新奥尔良以线下+线上相结合的形式召开。

编者按:美国癌症研究协会(AACR)年会是全球历史最悠久、规模最大的肿瘤研究型学术会议之一。2022年AACR年会于4.9~4.13日在新奥尔良以线下+线上相结合的形式召开。本届AACR年会上,多项ADC药物相关研究结果披露。《肿瘤瞭望》特邀海军军医大学附属长海医院甲乳外科盛湲教授为我们进行了汇总。
 
一、Ⅰb期剂量递增和剂量扩大研究(DESTINY-Lung03研究):T-DXd联合durvalumab、顺铂、卡铂或培美曲塞治疗晚期或转移性、HER2过表达的非鳞状NSCLC1

研究背景
 
HER2过表达是乳腺癌和胃癌治疗中确定的靶点,HER2过表达在NSCLC和肺癌中总的患病率为5%~35%2,3,但目前没有HER2靶向治疗药物获批用于NSCLC。T-DXd是一种抗体-药物偶联物,由曲妥珠单抗、四肽的可裂解连接子和细胞毒性拓扑异构酶抑制剂组成。
 
 
DESTINY - lung01(DL-01)研究中期结果显示,T-DXd单药治疗(6.4 mg/kg Q3W)在不可切除/转移性HER2过表达非鳞状NSCLC(35%的CNS转移)患者中显示了令人鼓舞的疗效,确诊的ORR为24.5%,中位OS为11.3个月4。
 
Durvalumab是一种抗PD-L1抗体,被批准用于不能切除的Ⅲ期同步铂类化疗和放疗后没有进展的NSCLC患者。在一项临床前免疫能力小鼠模型研究中,T-DXd和抗PD-1抗体联合治疗比单独治疗更有效,这些作用可能与T-DXd诱导T细胞活性增加和PD-L1表达上调有关。
 
在DESTINY-Lung03(DL-03)中评估T-DXd联合durvalumab和化疗对晚期或转移性HER2过表达的非鳞状NSCLC患者的安全性和耐受性。
 
研究方法
 
DL-03(NCT04686305)是一项1b期、开放标签、多中心、剂量递增(第1部分)和剂量扩大(第2部分)研究,用于探索HER2过表达(>25%免疫组化2+/3+肿瘤细胞)、不可切除、局部晚期或转移的非鳞状NSCLC患者的治疗效果。
 
第一部分入组了接受过1线或2线全身治疗后进展的患者,分别接受T-DXd和durvalumab联合顺铂(1A组)、卡铂(1B组)或培美曲塞(1C组)或T-DXd单药治疗(1D组)。
 
第二部分入组了既往未接受局部晚期治疗或转移性全身治疗的患者,随后分别接受T-DXd和durvalumab联合顺铂(2A组)、卡铂(2B组)或培美曲塞(2C组)或T-DXd+durvalumab治疗(2D)。第2部分的患者既往必须没有EGFR突变、EML4-ALK融合或其他靶向改变。
 
 
研究的主要终点是T-DXd+durvalumab +化疗联合治疗的不良事件(AEs)和严重不良事件(SAEs),以评估安全性和耐受性,并确定推荐的Ⅱ期剂量。次要终点包括确认的ORR、反应持续时间、疾病控制率、无进展生存期、OS、使用T-DXd单药治疗(第1部分)和T-DXd联合durvalumab治疗(第2部分)的AEs和SAEs的频率、药代动力学和免疫原性。
 
二、T-DXd在HER2突变非小细胞肺癌细胞中的内化和有效载荷释放的临床前研究5

研究背景
 
在DESTINY-Lung01研究中,T-DXd在HER2突变转移性非小细胞肺癌(NSCLC)患者中,包括那些HER2低表达水平的患者中,诱导了稳健和持久的反应。
 
HER2突变的NSCLC细胞对T-DXd敏感性的一种假设涉及这些细胞中受体和ADC内化的潜在增强。为了进一步验证这一种可能性,我们研究了HER2突变对表达各种HER2突变体的转基因细胞中T-DXd内化和DXd释放的影响,以及对体内T-DXd敏感性的影响。
 
研究方法
 
我们建立了表达野生型(WT)HER2或各种HER2突变体的转基因NCI-H322细胞,并评估了T-DXd在这些细胞中的内化。T-DXd在转基因NCI-H322细胞异种移植小鼠模型中检测其抗肿瘤活性,并将WT与各突变体进行比较。测定肿瘤组织中DXd的浓度。此外,我们使用内源性HER2突变的NSCLC细胞系NCI-H1781(G776delinsVC)评估了T-DXd的体外内化活性和抗肿瘤活性。
 
研究结果
 
表达不同HER2突变体的NSCLC细胞比表达HER2的WT细胞表现出更高的T-DXd内化。一个内源性HER2突变NSCLC细胞系(NCI-H1781)也显示出较高的内源性活性。不同突变体和WT表达细胞表面HER2表达水平与T-DXd内化呈负相关。
 
△T-DXd在转基因NCI-H322和NCI-H1781中的体外内化活性
 
△T-DXd在表达WT或HER2突变体的NCI-H322细胞小鼠中的抗肿瘤活性
 
表达多个HER2突变体的转基因细胞对T-DXd的响应高于HER2,其中G660D、YVMA、G776delinsVC、V777_G778insGSP和V842I的响应增加了2倍以上。
 
△T-DXd对表达WT的转基因NCI-H322细胞和不同HER2突变体的抗肿瘤活性比较
 
肿瘤中的高负载浓度似乎有助于增加抗肿瘤活性,但也有少数例外。如A775_G776insYVMA和V777_G778insGSP这些突变表现出了良好的内化活性、肿瘤有效载荷浓度和抗肿瘤活性的一致性增加,而另一些突变表现则表现出任何一种增加或不增加。
 
△肿瘤负荷浓度与抗肿瘤活性的关系
 
T-DXd在HER2突变的NSCLC(G776delinsVC)NCI-H1781异种移植模型中表现出较强的抗肿瘤活性,尽管HER2表达较低。
 
△T-DXd在NCI-H1781细胞移植瘤中的抗肿瘤活性(HER2 G776delinsVC)
 
研究结论
 
转基因NSCLC细胞的体外研究表明,T-DXd在HER2突变体肿瘤中的内化比在WT HER2肿瘤中的内化更有效,一些HER2突变细胞系在体内肿瘤中表现出T-DXd敏感性增加和更高的负载释放。这些结果表明,在这些HER2突变型的NSCLC细胞中,内化的增强在T-DXd敏感性机制中发挥了作用。这些结果的临床相关性可能因突变类型而异。然而,每个突变体的体外内化效率与体内抗肿瘤活性之间的关系在不同突变体之间并不一致,因此这些结果需要谨慎解释。与转基因细胞系模型相似,T-DXd在内源性HER2突变NSCLC细胞系(NCI-H1781)中也表现出较高的内化活性和抗肿瘤活性。
 
三、T-DXd治疗人肿瘤异种移植模型的药代动力学和药效学评价6

研究背景
 
本项研究的目的是建立T-DXd在代表HER2+和HER2-low的肿瘤模型中的暴露谱,并与肿瘤生物标志物的变化联系起来。
 
研究方法
 
为了建立T-DXd的暴露曲线和与肿瘤生物标志物变化的联系,研究者在HER2+和HER2-low的患者肿瘤异种移植模型中,单次静脉注射1或10 mg/kg的T-DXd(NCI-N87;nude)和HER2-low(Capan-1;NOD-SCID),在给药后6~336 h收集肿瘤大小和血浆标本。注射后第7天的试验/对照(T/C)值计算如下:%T/C =(mean 168hr TV-Mean start TV/mean veh 168hr TV -mean veh start TV)*100。
 
在指定的时间点收集肿瘤并快速冷冻用于蛋白质印迹(WB)或福尔马林固定和石蜡包埋 (FFPE)用于免疫组织化学(IHC)分析。HER2(4B5,Roche)、yH2AX(clone Ser139 20E3,细胞信号技术)和pRAD50(clone Ser635,细胞信号技术)均被使用。
 
在指定的时间点通过心脏穿刺收集血浆样品,并通过液相色谱和串联质谱(LC-MS/MS)进行分析,以检测总ADC、总抗体和游离有效载荷。对FFPE肿瘤样品进行yH2AX和pRAD50染色。 
 
我们测量了肿瘤体积、血浆中总ADC、总抗体和游离载荷,并通过蛋白印迹分析(WB)和免疫组化(IHC)评估了与肿瘤DNA损伤相关的生物标志物。
 

研究结果
 
观察到剂量成比例的暴露,正如在1和10-mg/kg剂量组中观察到的可比较的剂量标准化曲线下面积(AUC)所暗示的那样。DXd在血浆中检测时间小于24小时,并被迅速清除。
 
 
 
HER2表达的IHC分析证实,NCI-N87和JIMT-1模型为HER2+,Capan-1模型为HER2-low。
 
在所有3个异种移植模型中,T-DXd 10 mg/kg的治疗导致肿瘤退缩,而在NCI-N87模型中,1 mg/kg的治疗无效。
 
 
T-DXd处理后的yH2AX动力学
 
WB分析显示,在NCI-N87荷瘤小鼠中,10 mg/kg T-DXd处理24~96小时后,yH2AX表达增加。免疫组化分析发现,在HER2+ NCI-N87肿瘤模型中,yH2AX病灶诱导快速且持续7天(168小时),JIMT1和Capan-1模型中有yH2AX病灶增加的趋势(WB和IHC分析均证实)
 
 

 
在10 mg/kg的T-DXd给药后24~48小时,3个模型中pRAD50均被显著诱导,并持续至168小时,NCI-N87模型中,T-DXd低剂量组(1 mg/kg)对pRAD50的诱导作用不显著。
 

研究结论
 
与Capan-1相比,NCI-N87荷瘤小鼠血浆中T-DXd暴露时间延长,可能与小鼠菌株差异有关。与Capan-1相比,通过yH2AX和pRAD50测量,在NCI-N87肿瘤中,增加的全身暴露导致了更快速和持续的DNA损伤。这一情况表明,探索与DNA损伤反应抑制剂联合用药,以告知联合治疗的剂量和时间表的设计是有必要的。
 
四、T-DXd联合新一代PARP-1选择性抑制剂AZD5305在临床前模型中的活性和耐受性7

研究背景
 
PARP1在分解拓扑异构酶1裂解复合物(TOP1cc)中起直接作用。研究目的是探索T-DXd联合PARP1选择性抑制剂AZD5305是否能提高治疗疗效和反应的持久性。描述了几种肿瘤模型的体外疗效和机制数据,通过比较癌症和人骨髓祖细胞的联合活性,研究潜在的体外治疗指数,评估体内联合活性,并探索不同的剂量。
 
研究方法
 
研究者对27个乳腺癌和1个胃癌细胞株进行了7天体外活力测定,评价了T-DXd联合AZD5305的抗增殖活性。使用蛋白免疫印迹分析来确认靶点接触,并测量体外DNA损伤激活。将两个HER2阳性模型(NCI-N87和KPL4)用单药T-DXd或联合AZD5305处理48h,然后裂解细胞进行分析。为了评估该组合在肿瘤细胞(相对于正常组织)中活性的特异性,我们进一步在2D体外人骨髓祖细胞实验中评估了该组合的效果。
 
在2个非HRD-HER2阳性模型中,KPL-4(乳腺癌,n=7/grp)和NCI-N87(胃癌,n=8/grp)汇总评估联合用药,T-DXd 3或10 mg/kg每3周给药,AZD5305以0.01、0.1或1 mg/kg每天给药。
 
研究结果
 
在28个测试模型中的11个模型中,与单一药物相比,组合用药增强了体外细胞杀伤活性。这种获益在HRD和HRP模型中都存在,表明它不依赖于HR缺乏(由DNA损伤修复[DDR]基因突变定义)。
 
 
T-DXd能激活PARP1并且T-DXd与AZD5305的组合消除了NCI-N87中的PARP1自动化。在KPL4中,该组合增强了DNA损伤标记(pKap1、gH2AX、pRPA-S4/8)。
 
 
在体外,AZD5305在癌细胞中显示出联合协同作用,但在原发性骨髓造血细胞中仅比单药治疗略有增强。
 
 
在体内,KPL-4和NCI-N87的联合治疗耐受性良好,比单药治疗更活跃(P<0.0001)。
 
在26天时,乳腺癌KPL4模型10mg/kg T-DXd的生长抑制率(TGI)为85%,1mg/kg AZD5305的TGI为19%,T-DXd+ AZD5305的TGI为100%并伴有93%的退缩。
 
 
在41天时,胃癌NCI-N87模型使用10mg/kg T-DXd时TGI为74%,使用1mg/kg AZD5305的TGI为47%,使用T-DXd + AZD5305时TGI为100%并有40%的肿瘤退缩。
 
研究者测试了HER2阳性KPL4模型联合用药的替代剂量和方案:
 
将AZD5305的剂量降低到0.01mg/kg进行联合治疗(联合治疗第26天TGI为100%,肿瘤退缩率53%,单药治疗TGI为0%)。
 
此外,与单药T-DXd(85% TGI)相比,0.01mg/kg AZD5305与10mg/kg T-DXd联合使用7天也提供了更强的活性(第26天TGI>100%,退缩率为20%)。
 
 
研究结论
 
以上结果表明,T-DXd联合下一代PARP1抑制剂AZD5305在临床前模型中是一种广泛且有效的治疗方案,并体外活性在同源重组缺陷(HRD)和同源重组熟练模型中得到证实。在体内,该组合在HER2+乳腺癌和胃癌异种移植中具有活性,并且在剂量减少和AZD5305延迟间隔给药的情况下,这种活性都保持不变。最重要的是,在单一治疗几乎没有效果的情况下,联合治疗能够观察到效益。这提示,有必要在临床环境中对联合用药进行进一步评估,替代剂量和治疗方案的选择对于优化治疗指标是重要的。
 
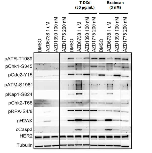
五、探索T-DXd与DNA损伤反应抑制剂(AZD6738 = ATRi, AZD1775 = WEE1i, AZD1390 = ATMi)的临床前联合应用效果8

研究目的
 
研究目的是探索T-DXd与DDR抑制剂联合是否能提高治疗疗效和反应持久性,并探讨T-DXd与DNA损伤反应抑制剂(AZD6738 = ATRi,AZD1775 = WEE1i,AZD1390 = ATMi)在临床前联合应用中的作用。并描述了几种肿瘤模型的体外疗效和机制数据,通过比较癌症和人骨髓祖细胞的联合活性,研究潜在的体外治疗指数,评估体内联合活性,探索不同的剂量。
 
研究方法
 
我们评估了T-DXd与AZD6738(ATRi)、AZD1390(ATMi)或AZD1775(Wee1i)联合使用对27个乳腺癌细胞系和1个胃癌细胞系的抗增殖作用。使用蛋白免疫印迹分析来确认靶点接合,并测量体外DNA损伤激活。为了评估联合用药对肿瘤细胞和正常组织活性的特异性,我们进一步在2D体外人骨髓祖细胞实验中评估了联合用药的效果。
 
用单药T-DXd或联合DDRi处理HER2阳性模型KPL4 48h,然后裂解细胞进行分析。为了评估该组合在肿瘤细胞(相对于正常组织)中活性的特异性,我们进一步在2D体外人骨髓祖细胞实验中评估了该组合的效果。
 
在HER2阳性胃癌NCI-N87细胞系异种移植的体内,也对组合进行了评估(每治疗组8只小鼠)。
 
研究结果
 
与单一药物相比,3种DDR抑制剂中的每一种与T-DXd联合在许多试验模型中显著增强了体外细胞杀伤活性(28株中有12株含有AZD6738,9株含有AZD1775,6株含有AZD1390),我们进一步在2D体外人骨髓祖细胞实验中评估了该组合的效果。这种效应并不局限于DDR突变模型(如BRCA1、BRCA2或ATM)。
 
在HER2阳性癌细胞系中,单药治疗T-DXd具有细胞抑制作用(完全抑制作用=100),从很低的浓度(1 nM)开始。3种DDRi均与T-DXd产生了强大的协同作用,诱导了较强的细胞毒性(完全细胞杀伤=200)。
 
△T-DXd联合HER2阳性KPL4细胞系
 
T-DXd激活PARP和ATR、Wee1、ATM通路,诱导细胞周期阻滞。
 
T-DXd联合AZD6738或AZD1775可抑制RS反应(pATRT1989,pChk1-S345)和细胞周期阻滞(pcd2-y15),联合AZD1390可抑制DSB反应通路(pATM-S1981,pKap1-S824,pChk2-T68)。所有3种DDR抑制剂都加剧了DNA损伤(pRPA-S4/8,gH2AX)和细胞死亡(cCasp3)
 
△T-DXd激活DDR并被DDR抑制剂阻断
 
在体外人骨髓毒性(BM)试验中,临床相关浓度下使用的T-DXd与AZD1390的联合相互作用大于与AZD6738或AZD1775的联合相互作用(剂量反应矩阵表示活性降低%)。
 
△T-DXd联合DDR抑制剂在人骨髓源性造血细胞中的应用
 
与单药治疗相比,3种DDR抑制剂的联合治疗取得了更好的肿瘤生长抑制(TGI)
 
随机分组当天给予单次静脉注射T-DXd,T-DXd 3mg /kg单药治疗第41天TGI为74%,AZD6738 25 mg/kg每日2次(bid)TGI为68%,AZD1390 10 mg/kgTGI为31%,AZD1775 60 mg/kg(5天用/2天停)为47%。AZD1390 需要延迟给药(24 小时间隔)以实现小鼠的耐受性。
 
当T-DXd与AZD6738、AZD1775或AZD1390联合使用时,TGI分别为100%(退缩19%)、90%和99%。
 
△T-DXd联合DDR抑制剂在HER2阳性胃癌细胞系NCI-N87的体内作用
 
研究结论
 
以上结果表明,AZD6738、AZD1775和AZD1390均增强了T-DXd在体外和体内的活性。这些组合在体外细胞系模型中显示出了广泛的活性,不依赖于DNA损伤反应途径的状态。T-DXd激活ATR、ATM和细胞周期检查点反应,诱导DNA损伤。T-DXd与AZD6738和AZD1775的联合活性在某些肿瘤模型中明显强于在体外骨髓细胞中。在体内,所有三种组合在N87 (HER2+胃癌)中都比单药治疗T-DXd更有活性。这些数据表明,在临床研究中进一步研究这些组合是有必要的。
 
专家点评
 
本届AACR大会上发布的T-DXd相关的研究结果让我们看到,T-DXd在HER2+和HER2-low小鼠肿瘤模型中显示了良好的抗肿瘤活性;也让我们看到了T-DXd联合下一代PARP1抑制剂AZD5305在临床前模型中是一种广泛且有效的治疗方案,并体外活性在同源重组缺陷(HRD)和同源重组熟练模型中得到证实。其与AZD6738、AZD1775和AZD1390的连用均增强了T-DXd在体外和体内的活性。期待这些基础研究能尽快进行转化,为更多患者带来更好的治疗方案。同时,期待正在进行的1b期研究(DESTINY-Lung03研究)能在肺癌中取得较好的疗效。
 
除T-DXd外,本届AACR大会上,HER3-DXd、Dato-DXd、DS-7300的相关研究也公布了相关数据。相信随着更多ADC药物的出现,今后各瘤种的治疗选择也将越来越丰富。
 
专家简介
 
盛 湲
 
主任医师 教授
 
海军军医大学附属长海医院甲乳外科 主任
 
中华医学会肿瘤学分会乳腺癌学组 委员
 
中国抗癌协会乳腺癌专业委员会 常委
 
中国医师协会外科医师分会乳腺外科专业委员会 常委       
 
临床精准医疗专业委员会乳腺癌学组 副主任委员
 
中国医药教育协会乳腺疾病专业委员会 常委 
 
中国研究型医院学会乳腺专业委员会 常委
 
上海抗癌协会乳腺癌专业委员会 副主任委员
 
全军普通外科专业委员会内分泌乳腺学组 副组长
 
参考文献:
 
1.Phase 1b dose-escalation and dose-expansion study evaluating trastuzumab deruxtecan (T-DXd) in combination with durvalumab and cisplatin, carboplatin, or pemetrexed in advanced or metastatic, HER2-overexpressing, nonsquamous non-small cell lung cancer (NSCLC: DESTINY-Lung03)  2022 AACR Abs # CT 572.
 
2.Cox et al. Int J Cancer. 2001;92:480-483.
 
3. Hirsch et al. Lancet. 2017;389:299-311.
 
4.Nakagawa et al. WCLC 2020. Abstract OA04.05.
 
5.Preclinical investigation of T-DXd internalization and payload release in HER2 mutant non-small cell lung cancer cells 2022 AACR Abs #5376
 
6.Pharmacokinetic and pharmacodynamic evaluation of human tumor xenograft models treated upon administration of trastuzumab deruxtecan  2022 AACR Abs #1141/5.
 
7.Activity and tolerability of combination of trastuzumab deruxtecan with the next generation PARP1-selective inhibitor AZD5305 in preclinical models  2022 AACR Abs #1142/6.
 
8.Activity and tolerability of combinations of trastuzumab deruxtecan (T-DXd) with inhibitors of the DNA damage response in preclinical models 2022 AACR Abs #5298.
 
后记:为促进乳腺领域中外专家的交流与沟通,提高我国乳腺癌患者的整体诊疗水平,推进乳腺癌诊疗迈向创新发展的新征程。肿瘤瞭望媒体在壬寅虎年隆重开办“共君一席话”系列栏目,该项目共分为“天涯共此时、共说此丰年、云影共徘徊、谁与共争锋、百家共争鸣”五个章节,包含中外连线、MDT会诊、热点辩论等多种形式,扫描二维码进入项目专栏,欢迎收藏此网站,更多精彩内容等你来!
 

本内容仅供医学专业人士参考


乳腺癌,胃癌

分享到: 更多